二重まぶた:埋没法
皮膚を切らない方法で、美しい理想の二重まぶたを手に入れる
二重瞼の手術の中で、埋没法は一番簡単・手軽にできる方法です。元々、瞼には二重瞼をつくるためのスジがあります。
埋没法はこのスジに糸をかけて、スジの力を補強することによって二重瞼をつくります。
「美容外科手術」というよりは「単純な処置」といってもよいほど手軽な方法によって、短時間でナチュラルな二重瞼を手に入れることができます。元々ご自分が持っているスジを利用しますので、不自然になることはありません。欠点としては二重瞼が元に戻ってしまう可能性があることです。この問題点を解決するために“エーブ クリニック”では、戻る可能性を最小限にした方法で埋没法を行なっています。
-

- 10~15分程度
-

- OK
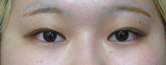
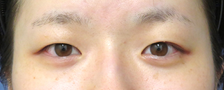
- 症例写真20代女性
-

- ▶︎

- 施術名:埋没法 2点固定
- 費用:¥61,600(税込)
- 施術の解説:
- 皮膚を切開せずに、皮膚と皮下組織(瞼板・挙筋腱膜)に糸をかけて、両者が癒着することにより二重瞼のラインを作成します。
- 施術のリスク・副作用:
- 重瞼線(二重瞼のライン)の消失,縫合糸膿瘍(化膿),糸の露出
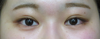
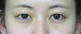
- 症例写真50代女性
-

- ▶︎

- 施術名:埋没法 3点固定
- 費用:¥77,000(税込)
- 施術の解説:
- 皮膚を切開せずに、皮膚と皮下組織(瞼板・挙筋腱膜)に糸をかけて、両者が癒着することにより二重瞼のラインを作成します。
- 施術のリスク・副作用:
- 重瞼線(二重瞼のライン)の消失,縫合糸膿瘍(化膿),糸の露出
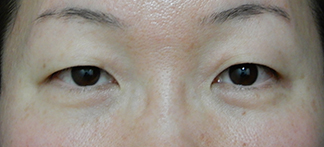
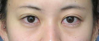
- 症例写真20代女性
-

- ▶︎

- 施術名:埋没法 3点固定
- 費用:¥77,000(税込)
- 施術の解説:
- 皮膚を切開せずに、皮膚と皮下組織(瞼板・挙筋腱膜)に糸をかけて、両者が癒着することにより二重瞼のラインを作成します。
- 施術のリスク・副作用:
- 重瞼線(二重瞼のライン)の消失,縫合糸膿瘍(化膿),糸の露出
-
手術前: 一重瞼で皮膚と皮下組織が多いので「睫毛内反(逆さマツゲ)」の状態になっています。
そのため睫毛が眼球側に向いていて目の開きも良くありません。
また、モノを見る時には前頭筋を使うため眉毛が上がっています。手術後: 埋没法により自然な幅の二重瞼になりました。
「睫毛内反」が改善されたため睫毛が上を向いて明るい目元になりました。
目の開きが良くなったため前頭に力を入れ眉毛を上げなくてもパッチリとした目元になりました。注意: このモニターさんの眉毛の位置は術後の位置が本来の状態です。
術前は目が開きにくいため両方の眉毛を持ち上げてモノを見ています。
これは頭痛や肩コリ、頚コリの原因になることもあるため早めに改善することが望ましい状態です。
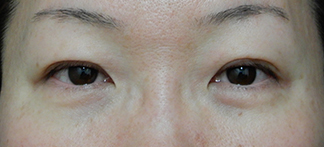
- 症例写真20代女性
-

- ▶︎

- 施術名:埋没法 3点固定
- 費用:¥77,000(税込)
- 施術の解説:
- 皮膚を切開せずに、皮膚と皮下組織(瞼板・挙筋腱膜)に糸をかけて、両者が癒着することにより二重瞼のラインを作成します。
- 施術のリスク・副作用:
- 重瞼線(二重瞼のライン)の消失,縫合糸膿瘍(化膿),糸の露出
- 症例写真20代女性
-

- ▶︎

- 施術名:右目 埋没法3点固定
- 費用:¥46,200(税込)
- 施術の解説:
- 皮膚を切開せずに、皮膚と皮下組織(瞼板・挙筋腱膜)に糸をかけて、両者が癒着することにより二重瞼のラインを作成します。
- 施術のリスク・副作用:
- 重瞼線(二重瞼のライン)の消失,縫合糸膿瘍(化膿),糸の露出
こんな方にオススメです
- 切開はしたくない
- 自然な二重瞼になりたい
- ダウンタイムがあまり取れない
- アイプチをするのがめんどうだ
埋没法の手術法

- 仰向けになっていただき、二重ラインの皮膚側に糸を固定する点を確認いたします。(A点、B点)
- 各点の真下(瞼の裏の結膜側)にC点、D点を確認いたします。
- ABCDの各点に、1本の糸をループ状にかけて、二重のラインを固定いたします。糸は髪の毛よりも細い糸(医療用の号数では7‐0サイズになります)を使用しています。
- まずA点からC点に向かって糸を通します。それから粘膜の下層を通してD 点、さらにB点を通してA点に戻ります。(A→C→D→B→Aの順に糸をかけます)
- このときには2,3回瞼を裏返すことになりますが、手術器具が直接見えてしまうことはありません。
- A-Bは皮膚の直下、C-Dは結膜(粘膜)の直下にあるため、瞼の表にも裏にも糸が出ることはありません。
- 皮膚側のA点に出した糸を結んで手術終了です。
手術のポイント
| 手術時間 | 10~15分(糸を固定する点数によって異なります) |
|---|---|
| 傷跡 | なし |
| 入院 | 不要 |
| 通院 | 不要(診察希望時:受診可) |
| 麻酔 | 局所麻酔または静脈麻酔 |
| 日常生活 | 特に制限はありません。手術後1ヵ月間は瞼を強くこすらないようにしてください |
- 3点止めの場合は皮膚側の固定点が3ヵ所になります。
- 止める箇所の糸の部分に結び玉(knot)をつくることによって糸の固定力を強くしています。
- この基本的な固定法をいくつか組み合わせて行なうことで、さらに固定力が強く戻らない二重瞼が得られます。
- 麻酔は瞼の皮膚に注射をして行なう局所麻酔、あるいは手術中眠ってしまう静脈麻酔のどちらかを選んでいただくことができます。
“エーブ クリニック”のこだわり
- その1 戻らない埋没法
- 埋没法が戻ってしまう原因は、皮下にかけた糸が滑り落ちてしまうためです。
“エーブ クリニック”では糸を安定させる方法を用いて手術を行なっています。 - その2 腫れない手術法
- 腫れない手術のコツは、瞼を弛緩させること・皮下の血管をキズつけないことです。
“エーブ クリニック”では腫れを最小限に抑える手術法を行なっています。また腫れ止めのお薬を数種類準備しております。 - その3 安心の無痛麻酔
- “エーブ クリニック”では、麻酔科専門医の資格を持つ院長が責任を持って手術・麻酔を行ないます。痛みに弱いかたや手術が怖いかたには静脈麻酔で行なうことも可能です。
診療の流れ
- STEP1 予約

- お電話0120-558-896もしくはご予約専門フォームよりご予約をお取りください。
- STEP2 受付

- 予約いただいた受診日にご来院ください。受付でご要望をお伺いいたします。
- STEP3 カウンセリング

- 院長が責任を持ってカウンセリングをいたしますので、お聞きになりたいことを何でもご相談ください。瞼のご状態を診察した後、的確な診断のもとに、患者さまのご状態に合った二重瞼をご提案いたします。
- STEP4 デザイン

- 手術する部分を正確にマーキングいたします。これをデザインといいますが、これで二重瞼の形が決定してしまうので厳密に行なう必要があります。
- STEP5 麻酔

- 麻酔は瞼の皮膚に注射をして行なう局所麻酔、あるいは手術中眠ってしまう静脈麻酔のどちらかを選んでいただくことができます。
- STEP6 手術

- 手術中は瞼を軽く閉じてリラックスしてください。途中何回か瞼を裏返しにしますが、手術器具が直接見えてしまうことはありません。恐怖心が強いかた、極度に緊張してしまうかたは静脈麻酔で行なうほうが良いでしょう。
- STEP7 リカバリー

- 手術直後はベッドでお休みいただき、瞼を10~15分程度冷却いたします。腫れが気になるかたは、この時点で腫れ止めを追加することも可能です。
- STEP8 術後カウンセリング

- ご帰宅されてからの注意を説明いたします。手術後の通院は通常必要ありませんが、何か気になることや問題がある場合には、適時診察させていただきます。
手術に関して
| 施術時間 | 固定する点数によって異なりますが、2~3点止め⇒10~15分、6点止め⇒20~30分程度で終了いたします。 |
|---|---|
| 傷跡 | キズはできません。糸で止めた部分が赤くなりますが抜糸はせず、数日間で消失いたします。 |
| 麻酔 | 局所麻酔または静脈麻酔(手術中眠ってしまう麻酔法)のどちらかを選択できます。 |
| 入院 | 必要ありません。 |
| 通院 | 必要ありません。術後何か気になることや、問題が生じて処置が必要な際には適時診察させていただきます。 |
| 入浴・シャワー | 当日からOKです。傷口を濡らさないようにしてください。 |
| メイク | 当日からOKです。 ※手術部位(アイメイク)は翌日からOKになります。 |
| その他 | 手術後1ヵ月間は瞼を強くこすらないようにしてください 日焼け・強い紫外線に当たらないよう気を付けてください。 妊娠中のかたは、時期によっては手術を受けることができません。 |
料金
| 手術名 | 料金 | モニター募集 | |
|---|---|---|---|
| 埋没法 (2点留め) | 片目 | 36,960円 | - |
| 両目 | 61,600円 | ○ | |
| 埋没法 (3点留め) | 片目 | 46,200円 | - |
| 両目 | 77,000円 | ○ | |
| 埋没法 (4~6点留め) | 片目 | 69,300円 | - |
| 両目 | 115,500円 | ○ | |
※料金表記につきましては、税込表記となっております。
よくあるご質問
- Q:戻ってしまった場合の補償はありますか?
- A:埋没法手術が適応のかたで、手術後6ヶ月以内で戻ってしまった場合には、同じラインに1回だけ無料で再手術をいたします。
- Q:瞼の中に糸を入れておいても大丈夫なのですか?
- A:医療用の機材なので体内に留置しても大丈夫です。抜糸はせず、手術後2週間程すると、糸の周りはタンパク質の膜で覆われて安定した状態になります。
- Q:眼球はキズつきませんか?
- A:結膜側の糸は粘膜の中に引き込まれてしまい、瞼の裏側(粘膜の表面)に糸が出ることがないので、眼球にキズがつくことはありません。






