眉毛下切開術
上眼瞼のタルミを改善するアイリフト
顔全体の若返り効果があります
加齢とともに進行していく上眼瞼のタルミは、目元に老けた印象をつくってしまいます。上から皮膚が被さってくるので目が開きづらくなるため、眉毛を持ち上げてモノを見るようになります。前額にシワをつくって眉毛を上げると顔全体が老けた感じになり、頭痛・肩コリの原因にもなります。上眼瞼のタルミ取りは、1つの手術で多くの問題点が改善される非常に満足度が高い手術です。(上眼瞼切開術)
しかし瞼の手術は術後の腫れが落ち着くまでに、ある程度長期の時間がかかります。上眼瞼切開術よりも、術後の腫れが少ない方法として、眉毛下切開術があります。眉毛の下のラインに沿ってタルミを切除するのですが、切開線は眉毛で隠れてしまうため、キズはほとんど分からなくなります。上眼瞼のタルミでお悩みのかたは、ダウンタイムが短期間で済む眉毛下切開術をお考えになってはいかがでしょうか。
-

- 1時間程度
-

- OK
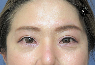
- 症例写真50代女性
-

- ▶︎

- 施術名:眉毛下切開術 + 下眼瞼結膜側脱脂術
- 費用:¥539,000(税込)
- 施術の解説:
-
【眉毛下切開術】
上眼瞼の余剰皮膚と皮下組織に対して、眉毛より尾側の組織を切除することによって取り除く。
【下眼瞼結膜側脱脂術】
下眼瞼の眼窩脂肪による突出に対して、結膜側から脂肪を摘出することにより改善する方法。 - 施術のリスク・副作用:
-
【眉毛下切開術】
過剰切除による兎眼,左右差,瘢痕
【下眼瞼結膜側脱脂術】
過量切除による陥凹,余剰皮膚,左右差,複視
こんな方にオススメです
- 上眼瞼のタルミを取りたい
- 腫れない方法を選びたい
- 瞼が重く、モノを見るのがつらい
- 前額にシワができて、オデコの筋肉が疲れる
- 頭痛、肩・頚コリがある
- 自然な形でタルミを取りたい
眉毛下切開術の手術法

- まず椅子に座った状態で余剰皮膚・タルミの状態を診察し、眉毛の下のラインに沿って、余剰皮膚の切除幅をマーキングいたします。
- 仰向けになっていただき、皮膚切除量を再度確認してから麻酔をします。
- マーキング(デザイン)したラインに沿って切開をして、余分に存在している皮膚・皮下組織を適量切除します。
- 左右差や過不足が無いように、切除量の確認をいたします。適切な切除量を決定するには、仰向けや座った状態などの様々な体位で頻回にチェックすることが重要です。
- 止血を確認し、皮膚を縫合して終了です。
手術のポイント
- 手術は1時間程で終了します。タルミは確実に改善し、目が開きやすくなります。
- 余剰皮膚を切除する単純な手術なので、手技的にはそれ程難しくはありませんし、リスクも少ない方法です。しかし左右差やタルミの過不足を起こさないようにするためには、皮膚切除量を正確に決定する必要があります。
- キズあとは2~3ヵ月の間は赤みがありますが、それ以降は白く細い線状のキズになり、眉毛の下のラインに隠れてしまうため、ノーメイクでもほとんど分からない状態になります。
- 5~7日後に皮膚を縫合した糸の抜糸があります。抜糸が終わればメイクOKですが、抜糸の前でも縫合部分をよけて、アイメイクやチーク・リップへのメイクはOKです。
“エーブ クリニック”のこだわり
- その1 カウンセリングを重要視
- 眉毛下切開術は上眼瞼のタルミを改善する手術です。他に随伴する症状をお持ちのかたは、別の方法が適応となる場合があります。たとえば眼瞼下垂がある場合には、挙筋前転術や結膜側挙筋タッキング法が必要になります。またタルミ取りと同時に、二重瞼をご希望されるかたには上眼瞼切開術が良い適応になります。“エーブ クリニック”ではカウンセリングを重要視しています。「症状が改善しなかった」あるいは「希望の状態にならなかった」ということが無いように、術前に局所の状態を正確に診断することが重要です。
- その2 効果的な手術方法
- 眉毛下切開術は余剰皮膚を切除する単純な手術なので、手技的にはそれ程難しくはありません。しかし皮膚切除を正確に行なわないと、目元に左右差が出たり、キズが目立つ状態になることがあります。それを回避するためには、術前・術中に様々な方向から目元・眉毛・前額の状態をチェックして、皮膚切除量を正確に決定することが必要です。
- その3 安心の無痛麻酔
- “エーブ クリニック”では、麻酔科専門医の資格を持つ院長が責任を持って手術・麻酔を行ないます。眉毛下切開術は局所麻酔で行なうこともできますが、特に痛みに弱いかたや手術が恐いかたには、手術中に眠っていただく静脈麻酔で行なうことも可能です。
診療の流れ
- STEP1 予約

- お電話0120-558-896もしくはご予約専門フォームよりご予約をお取りください。
- STEP2 受付

- 予約いただいた受診日にご来院ください。受付でご要望をお伺いいたします。
- STEP3 カウンセリング

- 院長が責任を持ってカウンセリングをいたしますので、お聞きになりたいことを何でもご相談ください。お目元周囲のご状態を診察した後、的確な診断のもとに、患者さまのご状態に合った方法をご提案いたします。
- STEP4 デザイン

- 手術する部分を正確にマーキングいたします。これをデザインといいますが、これでお目元の形が決定してしまうので厳密に行なう必要があります。
- STEP5 麻酔

- 麻酔:麻酔は瞼の皮膚に注射をして行なう局所麻酔、あるいは手術中眠ってしまう静脈麻酔のどちらかを選んでいただくことができます。(「麻酔」のページをご覧ください)
- STEP6 手術

- 手術中は瞼を軽く閉じてリラックスしてください。途中何回か瞼を開いていただきますが、手術器具が直接見えてしまうことはありません。恐怖心が強いかた、極度に緊張してしまうかたは静脈麻酔で行なうほうが良いでしょう。
- STEP7 リカバリー

- 手術直後はベッドでお休みいただき、瞼を10~15分程度冷却いたします。腫れが気になるかたは、この時点で腫れ止めを追加することも可能です。静脈麻酔を受けられたかたは、さらに30分~1時間程度お休みいただきます。
- STEP8 術後カウンセリング

- ご帰宅されてからの注意を説明いたします。手術から5~7日後に抜糸を行ないます。その後は1ヵ月後と3ヵ月後に定期検診がありますが、何か気になることや問題がある場合には、適時診察させていただきます。
手術に関して
| 施術時間 | 眉毛下切開術は1時間程度で終了いたします。 |
|---|---|
| 傷跡 | 手術後3ヵ月程はキズの赤味が強い時期がありますが、軽くメイクをするとカバーできます。その後は白色の線状のキズになり、眉毛に隠れてしまうので、ノーメイクでも目立たなくなります。 |
| 麻酔 | 局所麻酔または静脈麻酔(手術中眠ってしまう麻酔法)のどちらかを選択できます。 |
| 入院 | 必要ありません。 |
| 通院 | 手術から5~7日後に抜糸を行ないます。その後は1ヵ月後と3ヵ月後に定期検診があります。何か気になることや、問題が生じて処置が必要な際には適時診察させていただきます。 |
| 入浴・シャワー | 当日からOKです。傷口を濡らさないようにしてください。 |
| メイク | 当日からOKです。 ※手術部位(アイメイク)は抜糸後からOKになります。 |
| その他 | コンタクトレンズは手術直後から使用可能です。
手術後1ヵ月間は瞼を強くこすらないようにしてください。 日焼け・強い紫外線に当たらないよう気を付けてください。 妊娠中のかたは、時期によっては手術を受けることができません。 |
料金
| 手術名 | 料金 | モニター募集 | |
|---|---|---|---|
| 眉毛下切開術 | 片目 | 161,700円 | - |
| 両目 | 269,500円 | ○ | |
※料金表記につきましては、税込表記となっております。
よくあるご質問
- Q:上マブタのタルミを取りたいのですが、上眼瞼切開と眉毛下切開とどちらが良いのでしょうか?
- A:上マブタのタルミ取りには上眼瞼切開と眉毛下切開の2種類がありますが、それぞれの特徴を下の表にまとめてみます。
以下に眉毛下切開の特徴を示します。腫れ ダウンタイム キズ 同時に行なえる手術 上眼瞼切開 強い 2~3週間 目立たない 眼瞼下垂、重瞼術 眉毛下切開 軽度 数日~1週間 眉毛の下に白いキズ 皺眉筋切除
(1)腫れが少ないのでダウンタイムは短期間で済む。
(2)眉毛の下のラインに沿って白いキズが残るため、眉毛の薄いかたはキズが目立つ場合がある。
(3)眉間の縦ジワが気になるかたは、シワの原因となる皺眉筋(すうびきん)を切除して、シワを改善することができる。
(4)眉毛下切開のみでは二重瞼をつくることはできません。逆に言いますと、「一重瞼のままでタルミだけ取りたい」というかたにおススメです。
*同時に二重瞼をつくる場合や、眼瞼下垂を改善する場合には、上眼瞼切開のほうが適しています。 - Q:男性ですが、上マブタのタルミが強い状態です。仕事上の都合があるので、あまり印象を変えずにタルミだけを取る方法はありますか?
- A:男性患者さまの場合、眉毛が濃いかたが多いので、この眉毛下切開が良い適応になります。また上眼瞼切開によりタルミ取りを行ないますと、切開線の直下で皮膚の癒着が起こった場合、そのラインで二重瞼になることがあります。同時に二重瞼になりたいかたには好都合なのですが、元々一重瞼のかたが術後の印象をあまり変えたくない場合には、眉毛下切開が適しています。
- Q:上マブタのタルミが強く、目を開けるのがつらいです。術後あまり腫れるのはイヤなので、眉毛下切開を受けたいのですができますか?
- A:「目を開けるのがつらい」ということですが、皮膚のタルミだけがその原因であれば、眉毛下切開が良い適応になり、症状が改善いたします。
「目を開けるのがつらい」という場合、その原因は4つありますが、それぞれの状態と改善方法を表にまとめます。
ご状態や原因によって改善方法が異なりますので、術前のカウンセリングは重要です。手術前には局所を詳細に診察して、状態を正確に診断し、適応となる手術を選択することが必要です。原因 状態 改善方法 (1) 上眼瞼皮膚弛緩 上マブタの皮膚のタルミ 眉毛下切開、上眼瞼切開 (2) 眼瞼下垂 瞼を引き上げる筋肉が伸びた状態 挙筋前転術 (3) 睫毛内反症 逆さマツゲのことです 上眼瞼切開 (4) 眉毛下垂 前額の皮膚が伸びて眉毛が下がった状態 前額リフト






