涙袋(涙堂)形成術
涙袋は目元のアピール。表情ゆたかな、優しい目元に変身
目元周囲の皮膚の下層には眼輪筋という表情をつくる筋肉が存在します。笑ったときには眼輪筋が収縮することで下眼瞼に膨らみができますが、これが涙袋(涙堂)といわれているものです。
涙袋が膨らんでいると
「にこやかにほほ笑んでいる」
「表情がゆたかに見える」
「優しい感じの目元」
という印象を与えますので、この部分をボリュームアップするためにヒアルロン酸を注入いたします。注入にかかる時間は数分間で、直後からメイクもOKです。「目がキツイといわれる」「優しい感じの目元になりたい」そのようなかたは、お手軽なヒアルロン酸注入法でイメージを変えてみてはいかがでしょうか。
-

- 5分程度
-

- OK
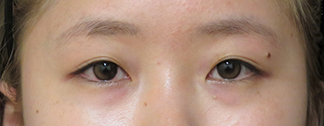
- 症例写真20代女性
-

- ▶︎

- 施術名:涙袋ヒアルロン酸注入
- 費用:¥27,500(税込)
- 施術の解説:
- 下眼瞼にヒアルロン酸を注入することによって、涙袋を形成する。
- 施術のリスク・副作用:
- 吸収による減少,過矯正,左右差
-
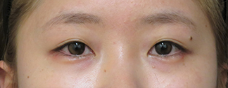
手術前: 末広型の二重瞼ですが、「インパクトのある目元にしたい」ということで、涙袋にヒアルロン酸を注入しました。 手術後: 片側に0.1ccずつ注入いたしました。涙袋にハリがあると、立体感のある目元になり、明るく優しい印象を与えます。
- 症例写真10代女性
-

- ▶︎

- 施術名:涙袋ヒアルロン酸注入
- 費用:¥27,500(税込)
- 施術の解説:
- 下眼瞼にヒアルロン酸を注入することによって、涙袋を形成する。
- 施術のリスク・副作用:
- 吸収による減少,過矯正,左右差
こんな方にオススメです
- 目元の印象を変えたい
- 皮膚を切開する手術はしたくない
- 優しい感じの目元になりたい
- 目にインパクト、目ヂカラをつけたい
涙袋(涙堂)形成術の手術法

- 椅子に座った状態で、涙袋を確認して、ヒアルロン酸を注入する部分をデザイン(マーキング)いたします。涙袋のすぐ下には目袋といわれる脂肪の袋があり、ここが膨らんでしまうと「老けてみえる」「疲れているようにみえる」というマイナスイメージを与えてしまいます。デザインは正確に行ない、ヒアルロン酸が下方に流れないように注入する必要があります。
- 仰向けになっていただいて、注入部位を冷却いたします。皮膚を冷やすことで注入時の針の痛みを少なくすることができます。
- 注入は極細の針を使用いたしますが、ヒアルロン酸の中に麻酔液が入っているので、痛みはほとんどありません。
- わずか数分で、注入は終了いたします。直後からメイクしていただいても大丈夫です。
手術のポイント
- 麻酔は瞼の皮膚に注射をして行なう局所麻酔、あるいは手術中眠ってしまう静脈麻酔のどちらかを選んでいただくことができます。(⇒「麻酔」のページをご覧ください)
- 位置がずれて下方の目袋が膨らんでしまうと、目元の印象が悪くなってしまうので、注入は少量ずつ正確に行なう必要があります。
“エーブ クリニック”のこだわり
- その1 麻酔薬入りのヒアルロン酸
- “エーブ クリニック”では、麻酔薬が混入してあるヒアルロン酸を使用しています。そのため注入時の痛みはほとんどありません。
- その2 目元に適したヒアルロン酸を使用
-
眼瞼の皮膚は薄いので、粒子の細かい軟らかいヒアルロン酸を注入する必要があります。また必要以上に大きくなり過ぎてもいけませんので、周囲から水分を吸収する力:吸水率が低いヒアルロン酸を注入した方がその形が安定いたします。
- その3 安心の無痛麻酔
- “エーブ クリニック”では、麻酔科専門医の資格を持つ院長が責任を持って手術・麻酔を行ないます。痛みに弱いかたや手術が怖いかたには静脈麻酔で行なうことも可能です。
診療の流れ
- STEP1 予約

- お電話0120-558-896もしくはご予約専門フォームよりご予約をお取りください。
- STEP2 受付

- 予約いただいた受診日にご来院ください。受付でご要望をお伺いいたします。
- STEP3 カウンセリング

- 院長が責任を持ってカウンセリングをいたしますので、お聞きになりたいことを何でもご相談ください。お顔の状態を診察した後、的確な診断のもとに、患者さまのご状態に合った方法をご提案いたします。
- STEP4 デザイン

- 注入する部分を正確にマーキングいたします。
- STEP5 施術

- 注入する範囲にもよりますが、通常は片側に1ヵ所注射いたします。
- STEP6 リカバリー

- 静脈麻酔をうけられたかたは、リカバリー室のベッドでお休みしていただきます。30分~1時間程お休みになればご帰宅できます。
- STEP7 通院
- ご帰宅されてからの注意を説明いたします。手術後の通院は通常必要ありませんが、何か気になることや問題がある場合には、適時診察させていただきます。
手術に関して
| 施術時間 | 5分程度で終了いたします。 |
|---|---|
| 傷跡 | キズはできません。注射した部分が赤くなりますが数日間で消失いたします。 |
| 入院 | 必要ありません。 |
| 通院 | 必要ありません。術後何か気になることや、問題が生じて処置が必要な際には適時診察させていただきます。 |
| 入浴・シャワー | 当日からOKです。 |
| メイク | 当日からOKです。 |
| その他 | 妊娠中のかたは、時期によっては施術を受けることができません。 |
料金
| 手術名 | 料金 | モニター募集 |
|---|---|---|
| 涙堂注入:涙袋ヒアルロン酸注入(目安量:0.2cc) | 27,500円 | - |
※料金表記につきましては、税込表記となっております。
よくあるご質問
- Q:どのくらいで吸収されてしまいますか?
- A:法令線などにシワ取り目的で注入したヒアルロン酸は、数ヵ月から半年くらいの間に吸収されて無くなってしまいます。しかし目元に注入したヒアルロン酸は持ちが良く、一回の注入で1年以上残っているケースもあります。しかし個人差がありますので、ある程度吸収されて気になるようになったら、少量ずつ注入して微調整をしていくと良いでしょう。
- Q:以前涙袋にヒアルロン酸を注入したときに、あまり良い感じにならなかったのですが?
- A:涙袋ヒアルロン酸は皮下の層に注入いたしますが、あまり深い層に注入すると膨らんだ感じが分からなくなります。また下方に注入してしまうと、涙袋の下の目袋が膨らんで、目元の印象が悪くなりますので、注入は正確に行なう必要があります。また注入量が多すぎると、不自然な形になってしまいます。もう一度適切な位置に、少量ずつ注入してみてはいかがでしょうか。
- Q:注入の量が多すぎたようです。少し減らすことはできますか?
- A:ヒアルロニダーゼという注入したヒアルロン酸を分解する酵素があります。これを注入すると数日間でヒアルロン酸は分解されて無くなります。しかし効果には個人差があることと、調節が難しいのでヒアルロン酸は少量ずつ形状を確認して注入するのが良いでしょう。






